Medina Cosmetic Dentistry and Smile Transformations
Your smile has a big impact on how you look and feel. Dr. Joseph R. Obermeier and Dr. Richard P. Adelstein continually helps patients transform their image and their lives by transforming their smile. The gallery below gives you an overview the type of smile transformations we can create. Please contact us if you have questions about any of the procedures you see below, or if you are interested in learning more about how we can help create a great smile for you.
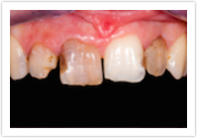
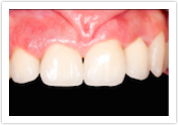
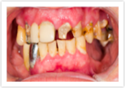
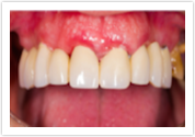
Porcelain Crowns & Dental Bridges






Dental Veneers


Teeth Whitening








